吃错油=给肿瘤开绿灯?Nature子刊:动物脂升高40%免疫毒代谢物

医学论坛网

2周前

▌黄油-HFD诱导NK细胞脂质滴积聚与代谢瘫痪,棕榈油-HFD维持c-Myc高表达。...本研究为对照性动物实验,旨在保持总能量与肥胖度一致的前提下,评估不同来源膳食脂肪对肥胖相关肿瘤生长及抗肿瘤免疫的影响。

导语:当减重手术、GLP-1受体激动剂都拦不住肥胖相关癌攀升时,是否忽略了一口锅里的油脂?2025年8月Nature Metabolism给出答案:黄油与棕榈油虽同样致胖,却一个“放肿瘤通行”、一个“让免疫守关”——差异竟在血浆里几微摩尔的酰基肉碱。

动物脂让免疫“断电”,植物脂替T细胞“充电”,

膳食脂肪来源决定肥胖者肿瘤命运

肥胖已明确增加13种癌风险,但临床干预仍停留在“减重-控糖”老路:热量限制、运动处方、代谢手术对免疫微环境的改善幅度小且反弹高。既往小鼠研究几乎清一色用猪油(lard-HFD)建模,得出“肥胖=免疫抑制”结论,却留下巨大盲区:不同脂肪酸链长、饱和程度是否直接左右肿瘤免疫?人群流行病学提示红肉脂肪与乳腺癌、结直肠癌相关,而橄榄油、棕榈油数据矛盾;机制层面,长链饱和脂肪可诱导CD8+ T细胞线粒体碎裂,但缺少“同热量、同肥胖”前提下脂肪来源的因果对比。更棘手的是,临床上无法通过BMI或空腹血糖判断哪位肥胖者免疫监视已瘫痪。

2025年8月Nature Metabolism在线发表“The source of dietary fat influences anti-tumour immunity in obese mice”,首次在等热量、等肥胖度条件下,系统比较六种膳食脂肪对肿瘤生长及免疫代谢的影响,并锁定血浆长链酰基肉碱(LCAC)作为可量化免疫毒性标志物,为“精准营养-免疫肿瘤学”提供可直接转化的干预靶点。

六种纯脂肪配方等热量喂养,

同肥胖不同肿瘤命运

本研究为对照性动物实验,旨在保持总能量与肥胖度一致的前提下,评估不同来源膳食脂肪对肥胖相关肿瘤生长及抗肿瘤免疫的影响。6周龄C57BL/6J雄鼠随机接受标准低脂饲料(SFD,13% kcal fat)或六种高脂饲料(HFD,45% kcal fat,等氮等纤维),脂肪分别来自猪油、牛脂、黄油、椰子油、橄榄油、棕榈油,喂养10周后皮下接种B16-F10黑色素瘤,继续原饲料至终点。主要终点:肿瘤体积与重量;次要终点:瘤内NK、CD8+ T细胞浸润及IFN-γ/GrzB表达、血浆非靶向代谢组、NK细胞实时能量代谢(Seahorse)、CD8+ T细胞体外功能、13C-硬脂酸示踪。样本量n=5–20/组,实验重复2–4次,采用双向重复测量ANOVA及Sidak多重比较。

黄油HFD组肿瘤体积增40%,

棕榈油HFD与低脂无差异,CAR18:0升高2倍

▌等肥胖条件下,黄油-HFD显著加速B16肿瘤生长,棕榈油-HFD与低脂组无差异

在10周等热量喂养后,各组DIO小鼠体重、空腹血糖、胰岛素耐受及肝脂肪变性程度完全一致。然而,B16肿瘤终点体积呈现“脂肪来源依赖”:黄油-HFD 600 ± 50 mm³,比SFD(300 ± 30 mm³)高100%(P<0.001);棕榈油-HFD 350 ± 40 mm³,与SFD无统计学差异(P=0.38)。这一落差在“同代谢综合征”背景下发生,提示肿瘤免疫微环境而非系统代谢驱动生长差异。

▌黄油-HFD瘤内NK与CD8 T细胞“双减”,棕榈油-HFD保留NK细胞数量及IFN-γ产量

流式结果显示,黄油组肿瘤浸润NK细胞占CD45+细胞5.1 ± 0.4%,仅为SFD(9.8 ± 0.7%)的一半(P=0.003);CD8 T细胞比例亦下降30%。功能层面,黄油组NK细胞IFN-γ+ 20 ± 3%,棕榈油组38 ± 4%,接近SFD水平(P<0.01)。CD8 T细胞IFN-γ+在黄油组腰斩至18 ± 2%,棕榈油组维持34 ± 3%(P=0.02)。GrzB表达无组间差异,说明缺陷主要在细胞因子分泌而非颗粒酶合成。这种“选择性抑制”符合肥胖免疫代谢瘫痪特征,但首次把“吃哪种油”单独拎出来作为决定因素。

▌Rag2-/-γc-/-小鼠缺失T/NK细胞后,两种HFD肿瘤生长曲线重合

免疫缺失模型中,黄油-HFD与棕榈油-HFD肿瘤终点重量分别为520 ± 60 mg与510 ± 55 mg(P=0.92),证实脂肪来源的差异必须通过适应性/固有免疫介导。这为后续“单细胞代谢-免疫共干预”实验奠定因果闭环。

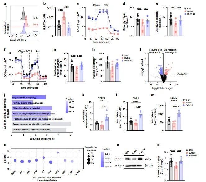
▌黄油-HFD诱导NK细胞脂质滴积聚与代谢瘫痪,棕榈油-HFD维持c-Myc高表达

图1 肥胖背景下,基于黄油的高脂饮食与棕榈油的高脂饮食对NK细胞代谢与功能的差异性调控

LipidTOX染色黄油组NK细胞中性脂质MFI 45 ± 5,棕榈油组25 ± 3(P<0.001)(图1)。Seahorse显示,棕榈油组基础糖酵解、糖酵解容量及最大呼吸率均比黄油组高50-60%(P<0.01)。蛋白质组+ChIP-X富集分析指出,棕榈油组c-Myc靶基因集显著富集(P=1×10-5),Western与流式验证c-Myc蛋白水平升高1.8倍。作者将现象归因于棕榈油富含C18:1,可直接激活c-Myc翻译,从而抑制脂质滴形成并维持线粒体适应性。

▌黄油-HFD血浆CAR18:0升高2倍,与饮食C18:0过量供给直接相关

图2 膳食脂肪调节DIO小鼠血浆中酰基肉碱水平

非靶向代谢组:CAR18:0在黄油组2.0 ± 0.2 arb. unit,棕榈油组1.0 ± 0.1(P<0.001);CAR14:0同样翻倍(图2d-e)。13C-硬脂酸示踪显示,两组肝脏完全氧化率无差别,提示CAR18:0累积源于“供大于求”而非β-氧化障碍。该结果把“吃进去的硬脂酸”与“循环免疫毒代谢物”定量挂钩,为临床血浆靶向检测提供理论依据。

▌CAR18:0体外抑制CD8 T细胞IFN-γ达60%,诱导线粒体膜电位下降30%,并削弱肿瘤杀伤

60 μM CAR18:0使OT-I CD8 T细胞对B16-OVA靶细胞杀伤率由70%降至30%(E:T=4:1,P<0.001);IFN-γ+细胞比例由50%降至20%(P<0.001);TMRM/MTG比值下降30%,最大呼吸率降低40%。人源CD8 T细胞重复实验,IFN-γ与GrzB同步下降(P<0.01)。因此,CAR18:0通过“膜电位-ROS-exhaustion”轴快速钝化T细胞,与PD-1信号协同可能进一步加剧ICI耐药。

总结

本研究在“等热量-等肥胖”硬控制下证明,膳食脂肪来源可独立决定肿瘤免疫命运:动物脂肪富集CAR18:0,直接抑制CD8+ T线粒体与IFN-γ,放大肿瘤生长;棕榈油则通过维持c-Myc信号与NK细胞代谢活性,阻断肥胖促癌效应。该工作首次把“吃哪种油”量化为可检测的血浆免疫毒代谢物,为肥胖相关癌的精准营养干预提供即时可操作的生物标志物与换油策略,开创“不减重、先换脂”的肿瘤免疫代谢调控新范式。

参考文献

Kunkemoeller B, Prendeville H, McIntyre C,et al. The source of dietary fat influences anti-tumour immunity in obese mice[J]. Nat Metab. 2025 Aug;7(8):1630-1645.DOI: 10.1038/s42255-025-01330-w.

参考文献

[1] Bonfiglio C , Tatoli R , Donghia R ,et al.Does Poultry Consumption Increase the Risk of Mortality for Gastrointestinal Cancers? A Preliminary Competing Risk Analysis[J].Nutrients, 2025, 17(8).DOI:10.3390/nu17081370.

ldquo;医学论坛网”发布医学领域研究成果和解读,供专业人员科研参考,不作为诊疗标准,使用需根据具体情况评估。

▌黄油-HFD诱导NK细胞脂质滴积聚与代谢瘫痪,棕榈油-HFD维持c-Myc高表达。...本研究为对照性动物实验,旨在保持总能量与肥胖度一致的前提下,评估不同来源膳食脂肪对肥胖相关肿瘤生长及抗肿瘤免疫的影响。

导语:当减重手术、GLP-1受体激动剂都拦不住肥胖相关癌攀升时,是否忽略了一口锅里的油脂?2025年8月Nature Metabolism给出答案:黄油与棕榈油虽同样致胖,却一个“放肿瘤通行”、一个“让免疫守关”——差异竟在血浆里几微摩尔的酰基肉碱。

动物脂让免疫“断电”,植物脂替T细胞“充电”,

膳食脂肪来源决定肥胖者肿瘤命运

肥胖已明确增加13种癌风险,但临床干预仍停留在“减重-控糖”老路:热量限制、运动处方、代谢手术对免疫微环境的改善幅度小且反弹高。既往小鼠研究几乎清一色用猪油(lard-HFD)建模,得出“肥胖=免疫抑制”结论,却留下巨大盲区:不同脂肪酸链长、饱和程度是否直接左右肿瘤免疫?人群流行病学提示红肉脂肪与乳腺癌、结直肠癌相关,而橄榄油、棕榈油数据矛盾;机制层面,长链饱和脂肪可诱导CD8+ T细胞线粒体碎裂,但缺少“同热量、同肥胖”前提下脂肪来源的因果对比。更棘手的是,临床上无法通过BMI或空腹血糖判断哪位肥胖者免疫监视已瘫痪。

2025年8月Nature Metabolism在线发表“The source of dietary fat influences anti-tumour immunity in obese mice”,首次在等热量、等肥胖度条件下,系统比较六种膳食脂肪对肿瘤生长及免疫代谢的影响,并锁定血浆长链酰基肉碱(LCAC)作为可量化免疫毒性标志物,为“精准营养-免疫肿瘤学”提供可直接转化的干预靶点。

六种纯脂肪配方等热量喂养,

同肥胖不同肿瘤命运

本研究为对照性动物实验,旨在保持总能量与肥胖度一致的前提下,评估不同来源膳食脂肪对肥胖相关肿瘤生长及抗肿瘤免疫的影响。6周龄C57BL/6J雄鼠随机接受标准低脂饲料(SFD,13% kcal fat)或六种高脂饲料(HFD,45% kcal fat,等氮等纤维),脂肪分别来自猪油、牛脂、黄油、椰子油、橄榄油、棕榈油,喂养10周后皮下接种B16-F10黑色素瘤,继续原饲料至终点。主要终点:肿瘤体积与重量;次要终点:瘤内NK、CD8+ T细胞浸润及IFN-γ/GrzB表达、血浆非靶向代谢组、NK细胞实时能量代谢(Seahorse)、CD8+ T细胞体外功能、13C-硬脂酸示踪。样本量n=5–20/组,实验重复2–4次,采用双向重复测量ANOVA及Sidak多重比较。

黄油HFD组肿瘤体积增40%,

棕榈油HFD与低脂无差异,CAR18:0升高2倍

▌等肥胖条件下,黄油-HFD显著加速B16肿瘤生长,棕榈油-HFD与低脂组无差异

在10周等热量喂养后,各组DIO小鼠体重、空腹血糖、胰岛素耐受及肝脂肪变性程度完全一致。然而,B16肿瘤终点体积呈现“脂肪来源依赖”:黄油-HFD 600 ± 50 mm³,比SFD(300 ± 30 mm³)高100%(P<0.001);棕榈油-HFD 350 ± 40 mm³,与SFD无统计学差异(P=0.38)。这一落差在“同代谢综合征”背景下发生,提示肿瘤免疫微环境而非系统代谢驱动生长差异。

▌黄油-HFD瘤内NK与CD8 T细胞“双减”,棕榈油-HFD保留NK细胞数量及IFN-γ产量

流式结果显示,黄油组肿瘤浸润NK细胞占CD45+细胞5.1 ± 0.4%,仅为SFD(9.8 ± 0.7%)的一半(P=0.003);CD8 T细胞比例亦下降30%。功能层面,黄油组NK细胞IFN-γ+ 20 ± 3%,棕榈油组38 ± 4%,接近SFD水平(P<0.01)。CD8 T细胞IFN-γ+在黄油组腰斩至18 ± 2%,棕榈油组维持34 ± 3%(P=0.02)。GrzB表达无组间差异,说明缺陷主要在细胞因子分泌而非颗粒酶合成。这种“选择性抑制”符合肥胖免疫代谢瘫痪特征,但首次把“吃哪种油”单独拎出来作为决定因素。

▌Rag2-/-γc-/-小鼠缺失T/NK细胞后,两种HFD肿瘤生长曲线重合

免疫缺失模型中,黄油-HFD与棕榈油-HFD肿瘤终点重量分别为520 ± 60 mg与510 ± 55 mg(P=0.92),证实脂肪来源的差异必须通过适应性/固有免疫介导。这为后续“单细胞代谢-免疫共干预”实验奠定因果闭环。

▌黄油-HFD诱导NK细胞脂质滴积聚与代谢瘫痪,棕榈油-HFD维持c-Myc高表达

图1 肥胖背景下,基于黄油的高脂饮食与棕榈油的高脂饮食对NK细胞代谢与功能的差异性调控

LipidTOX染色黄油组NK细胞中性脂质MFI 45 ± 5,棕榈油组25 ± 3(P<0.001)(图1)。Seahorse显示,棕榈油组基础糖酵解、糖酵解容量及最大呼吸率均比黄油组高50-60%(P<0.01)。蛋白质组+ChIP-X富集分析指出,棕榈油组c-Myc靶基因集显著富集(P=1×10-5),Western与流式验证c-Myc蛋白水平升高1.8倍。作者将现象归因于棕榈油富含C18:1,可直接激活c-Myc翻译,从而抑制脂质滴形成并维持线粒体适应性。

▌黄油-HFD血浆CAR18:0升高2倍,与饮食C18:0过量供给直接相关

图2 膳食脂肪调节DIO小鼠血浆中酰基肉碱水平

非靶向代谢组:CAR18:0在黄油组2.0 ± 0.2 arb. unit,棕榈油组1.0 ± 0.1(P<0.001);CAR14:0同样翻倍(图2d-e)。13C-硬脂酸示踪显示,两组肝脏完全氧化率无差别,提示CAR18:0累积源于“供大于求”而非β-氧化障碍。该结果把“吃进去的硬脂酸”与“循环免疫毒代谢物”定量挂钩,为临床血浆靶向检测提供理论依据。

▌CAR18:0体外抑制CD8 T细胞IFN-γ达60%,诱导线粒体膜电位下降30%,并削弱肿瘤杀伤

60 μM CAR18:0使OT-I CD8 T细胞对B16-OVA靶细胞杀伤率由70%降至30%(E:T=4:1,P<0.001);IFN-γ+细胞比例由50%降至20%(P<0.001);TMRM/MTG比值下降30%,最大呼吸率降低40%。人源CD8 T细胞重复实验,IFN-γ与GrzB同步下降(P<0.01)。因此,CAR18:0通过“膜电位-ROS-exhaustion”轴快速钝化T细胞,与PD-1信号协同可能进一步加剧ICI耐药。

总结

本研究在“等热量-等肥胖”硬控制下证明,膳食脂肪来源可独立决定肿瘤免疫命运:动物脂肪富集CAR18:0,直接抑制CD8+ T线粒体与IFN-γ,放大肿瘤生长;棕榈油则通过维持c-Myc信号与NK细胞代谢活性,阻断肥胖促癌效应。该工作首次把“吃哪种油”量化为可检测的血浆免疫毒代谢物,为肥胖相关癌的精准营养干预提供即时可操作的生物标志物与换油策略,开创“不减重、先换脂”的肿瘤免疫代谢调控新范式。

参考文献

Kunkemoeller B, Prendeville H, McIntyre C,et al. The source of dietary fat influences anti-tumour immunity in obese mice[J]. Nat Metab. 2025 Aug;7(8):1630-1645.DOI: 10.1038/s42255-025-01330-w.

参考文献

[1] Bonfiglio C , Tatoli R , Donghia R ,et al.Does Poultry Consumption Increase the Risk of Mortality for Gastrointestinal Cancers? A Preliminary Competing Risk Analysis[J].Nutrients, 2025, 17(8).DOI:10.3390/nu17081370.

ldquo;医学论坛网”发布医学领域研究成果和解读,供专业人员科研参考,不作为诊疗标准,使用需根据具体情况评估。

展开
打开“财经头条”阅读更多精彩资讯
APP内打开