化疗与CLDN18.2靶向治疗:肿瘤微环境中的免疫抑制之谜

医学论坛网

2周前

研究还发现,化疗组中NK细胞与Tregs和TAMs的空间距离更近,这可能进一步加剧了NK细胞的免疫抑制(图6c-f)。

导语:为什么胃癌患者在接受化疗和靶向CLDN18.2抗体治疗时,疗效总是不如预期?”这个问题一直困扰着临床医生。CLDN18.2作为胃癌的潜在治疗靶点,近年来备受关注,但其在联合化疗中的表现却不尽如人意。本文或许能为我们解开这个谜团。

CLDN18.2靶向治疗的困境:联合化疗为何效果不佳?

胃癌是全球癌症相关死亡的第三大原因,其治疗手段主要包括化疗、免疫检查点抑制剂以及针对HER2的靶向治疗等。近年来,CLDN18.2作为一种在胃癌中高表达的靶点,吸引了众多研究者的关注。CLDN18.2在约24%至38%的胃癌患者中呈现中至强阳性表达,且在肿瘤细胞恶性转化后暴露于细胞表面,成为理想的治疗靶点。

2023 年 SPOTLIGHT 与 GLOW 两项Ⅲ期试验先后证实,在化疗骨架上加用抗 CLDN18.2 单抗zolbetuximab,可将中位无进展生存期延长 2 个月左右,但客观缓解率仅提高 2–3%,远低于“靶点明确、抗体精准”本应带来的杀伤预期。矛盾点集中在抗体依赖细胞介导的细胞毒作用(ADCC)——负责“拉枪栓”的 NK 细胞为何在靶点高表达肿瘤里哑火?另一方面,新辅助化疗已被证实能重塑肿瘤微环境(TME),却在 CLDN18.2 阳性胃癌中缺乏系统描述。机制层面,化疗诱导的免疫抑制细胞是否反客为主、抵消抗体功效,成为领域亟待补上的空白。

2025年3月,British Journal of Cancer发表了一篇题为“Claudin18.2-positive gastric cancer-specific changes in neoadjuvant chemotherapy-driven immunosuppressive tumor microenvironment”的文章,深入探讨了化疗对CLDN18.2阳性胃癌肿瘤微环境的影响,揭示了化疗诱导的免疫抑制机制,为解决这一临床难题提供了新的思路。

单细胞测序揭示化疗对CLDN18.2阳性胃癌肿瘤微环境的影响

本研究是一项基于单细胞RNA测序和多重免疫荧光技术的观察性研究,旨在探究新辅助化疗对CLDN18.2阳性胃癌肿瘤微环境的特异性改变。研究纳入了37例经病理确诊的胃癌患者,其中包括11例CLDN18.2阳性病例。样本分为四组:CLDN18.2阴性未化疗组(Negative)、CLDN18.2阴性化疗组(Nega+Chemo)、CLDN18.2阳性未化疗组(Positive)和CLDN18.2阳性化疗组(Posi+Chemo)。研究的主要评价指标为自然杀伤(NK)细胞的抗体依赖性细胞毒性(ADCC)相关基因表达水平,次要评价指标包括调节性T细胞(Tregs)和肿瘤相关巨噬细胞(TAMs)的丰度及TGF-β1(TGFB1)表达水平。通过单细胞RNA测序,研究者对278,636个单细胞进行了分析,识别出19个主要细胞簇,并利用多重免疫荧光技术对结果进行了验证。此外,研究还通过GEPIA2工具分析了TCGA数据库中胃癌患者的基因表达相关性,进一步验证了研究结果的可靠性。

化疗诱导免疫抑制微环境,抑制CLDN18.2阳性胃癌中NK细胞的ADCC功能

本研究通过单细胞RNA测序和多重免疫荧光技术,从多个层面展示了化疗对肿瘤微环境的具体影响,这些发现不仅丰富了我们对CLDN18.2阳性胃癌的认识,也为未来的治疗策略提供了新的方向。

1. NK细胞ADCC功能的抑制

研究发现,接受化疗的CLDN18.2阳性胃癌患者中,NK细胞的ADCC相关基因表达水平显著降低。具体而言,与未接受化疗的患者相比,化疗组患者的NK细胞中FCGR3A(CD16)表达水平下降1.7倍,细胞毒性标志基因GZMB和PRF1的表达水平也显著降低。这一结果表明,化疗可能通过降低NK细胞表面的CD16表达,削弱了NK细胞识别和结合抗体的能力,从而抑制了ADCC功能。这一发现对于理解化疗对CLDN18.2靶向治疗疗效的影响具有重要意义。

2. Tregs和TAMs的免疫抑制作用

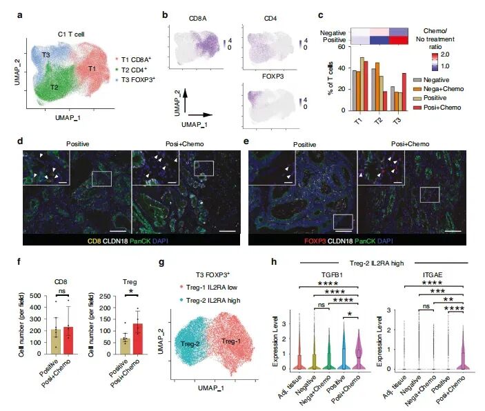
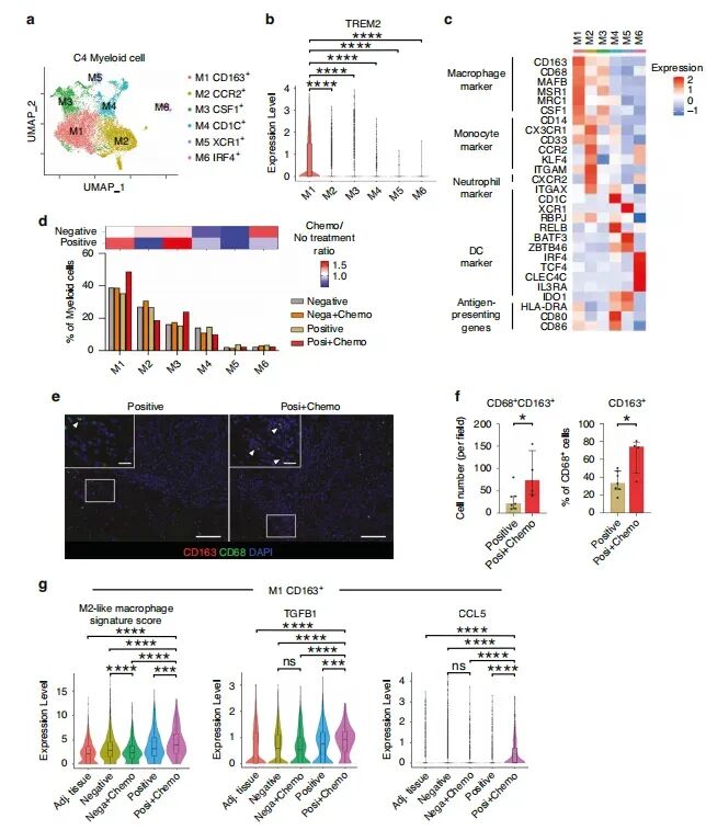
研究还发现,化疗显著增加了Tregs和TAMs的浸润,并且这些细胞的TGFB1表达水平显著升高。具体而言,Tregs在化疗组中的比例显著增加,且效应Tregs(Treg-2)的TGFB1表达水平显著高于未化疗组(图1h)。TAMs在化疗组中的比例同样增加,且表现出更高的M2型巨噬细胞特征基因表达水平(图2g)。这些结果表明,化疗可能通过增加Tregs和TAMs的浸润,以及上调这些细胞的TGFB1表达,诱导了免疫抑制微环境的形成,从而抑制了NK细胞的ADCC功能。

图1 化疗处理的CLDN18.2阳性胃癌中调节性T细胞(Tregs)的作用

图2 化疗处理的CLDN18.2阳性胃癌中肿瘤相关巨噬细胞(TAMs)的影响

3. 细胞间相互作用的增强

细胞间相互作用分析进一步揭示了化疗对肿瘤微环境的影响。研究发现,化疗组中NK细胞与效应Tregs之间通过CCL5-CCR5信号通路的相互作用增强,而Tregs与TAMs之间通过TGFB1-TGFBR信号通路的相互作用也更为显著。这些结果表明,化疗可能通过增强这些细胞间的信号通路,进一步加剧了免疫抑制微环境的形成,从而抑制了NK细胞的ADCC功能。

4. 空间分布的改变

研究还发现,化疗组中NK细胞与Tregs和TAMs的空间距离更近,这可能进一步加剧了NK细胞的免疫抑制(图6c-f)。这一发现表明,化疗不仅改变了细胞的基因表达和功能,还影响了细胞的空间分布,使得NK细胞更容易受到Tregs和TAMs的抑制作用。这一结果为理解化疗诱导的免疫抑制机制提供了新的视角。

总结

本文通过单细胞RNA测序和多重免疫荧光技术,深入剖析了新辅助化疗对CLDN18.2阳性胃癌肿瘤微环境的影响。研究发现,化疗不仅增加了NK细胞、Tregs和TAMs的浸润,还通过上调TGFB1表达和增强CCL5-CCR5信号通路,诱导免疫抑制微环境的形成,从而抑制NK细胞的ADCC功能。这些发现揭示了化疗对CLDN18.2靶向治疗疗效的负面影响机制,为未来开发更有效的联合治疗策略提供了新的方向。研究把“化疗—靶点抗体协同失效”这一临床尴尬现象从假设推向机制,为后续联合CCR5或TGF-β阻断剂提供了直接理论依据,也提示精准筛选化疗方案或时序可能成为提升CLDN18.2靶向疗效的突破口。

参考文献

[1]Tsutsumi C , Ohuchida K , Yamada Y ,et al.Claudin18.2-positive gastric cancer-specific changes in neoadjuvant chemotherapy-driven immunosuppressive tumor microenvironment[J].British Journal of Cancer, 2025, 132(9).DOI:10.1038/s41416-025-02981-y.

ldquo;医学论坛网”发布医学领域研究成果和解读,供专业人员科研参考,不作为诊疗标准,使用需根据具体情况评估。

研究还发现,化疗组中NK细胞与Tregs和TAMs的空间距离更近,这可能进一步加剧了NK细胞的免疫抑制(图6c-f)。

导语:为什么胃癌患者在接受化疗和靶向CLDN18.2抗体治疗时,疗效总是不如预期?”这个问题一直困扰着临床医生。CLDN18.2作为胃癌的潜在治疗靶点,近年来备受关注,但其在联合化疗中的表现却不尽如人意。本文或许能为我们解开这个谜团。

CLDN18.2靶向治疗的困境:联合化疗为何效果不佳?

胃癌是全球癌症相关死亡的第三大原因,其治疗手段主要包括化疗、免疫检查点抑制剂以及针对HER2的靶向治疗等。近年来,CLDN18.2作为一种在胃癌中高表达的靶点,吸引了众多研究者的关注。CLDN18.2在约24%至38%的胃癌患者中呈现中至强阳性表达,且在肿瘤细胞恶性转化后暴露于细胞表面,成为理想的治疗靶点。

2023 年 SPOTLIGHT 与 GLOW 两项Ⅲ期试验先后证实,在化疗骨架上加用抗 CLDN18.2 单抗zolbetuximab,可将中位无进展生存期延长 2 个月左右,但客观缓解率仅提高 2–3%,远低于“靶点明确、抗体精准”本应带来的杀伤预期。矛盾点集中在抗体依赖细胞介导的细胞毒作用(ADCC)——负责“拉枪栓”的 NK 细胞为何在靶点高表达肿瘤里哑火?另一方面,新辅助化疗已被证实能重塑肿瘤微环境(TME),却在 CLDN18.2 阳性胃癌中缺乏系统描述。机制层面,化疗诱导的免疫抑制细胞是否反客为主、抵消抗体功效,成为领域亟待补上的空白。

2025年3月,British Journal of Cancer发表了一篇题为“Claudin18.2-positive gastric cancer-specific changes in neoadjuvant chemotherapy-driven immunosuppressive tumor microenvironment”的文章,深入探讨了化疗对CLDN18.2阳性胃癌肿瘤微环境的影响,揭示了化疗诱导的免疫抑制机制,为解决这一临床难题提供了新的思路。

单细胞测序揭示化疗对CLDN18.2阳性胃癌肿瘤微环境的影响

本研究是一项基于单细胞RNA测序和多重免疫荧光技术的观察性研究,旨在探究新辅助化疗对CLDN18.2阳性胃癌肿瘤微环境的特异性改变。研究纳入了37例经病理确诊的胃癌患者,其中包括11例CLDN18.2阳性病例。样本分为四组:CLDN18.2阴性未化疗组(Negative)、CLDN18.2阴性化疗组(Nega+Chemo)、CLDN18.2阳性未化疗组(Positive)和CLDN18.2阳性化疗组(Posi+Chemo)。研究的主要评价指标为自然杀伤(NK)细胞的抗体依赖性细胞毒性(ADCC)相关基因表达水平,次要评价指标包括调节性T细胞(Tregs)和肿瘤相关巨噬细胞(TAMs)的丰度及TGF-β1(TGFB1)表达水平。通过单细胞RNA测序,研究者对278,636个单细胞进行了分析,识别出19个主要细胞簇,并利用多重免疫荧光技术对结果进行了验证。此外,研究还通过GEPIA2工具分析了TCGA数据库中胃癌患者的基因表达相关性,进一步验证了研究结果的可靠性。

化疗诱导免疫抑制微环境,抑制CLDN18.2阳性胃癌中NK细胞的ADCC功能

本研究通过单细胞RNA测序和多重免疫荧光技术,从多个层面展示了化疗对肿瘤微环境的具体影响,这些发现不仅丰富了我们对CLDN18.2阳性胃癌的认识,也为未来的治疗策略提供了新的方向。

1. NK细胞ADCC功能的抑制

研究发现,接受化疗的CLDN18.2阳性胃癌患者中,NK细胞的ADCC相关基因表达水平显著降低。具体而言,与未接受化疗的患者相比,化疗组患者的NK细胞中FCGR3A(CD16)表达水平下降1.7倍,细胞毒性标志基因GZMB和PRF1的表达水平也显著降低。这一结果表明,化疗可能通过降低NK细胞表面的CD16表达,削弱了NK细胞识别和结合抗体的能力,从而抑制了ADCC功能。这一发现对于理解化疗对CLDN18.2靶向治疗疗效的影响具有重要意义。

2. Tregs和TAMs的免疫抑制作用

研究还发现,化疗显著增加了Tregs和TAMs的浸润,并且这些细胞的TGFB1表达水平显著升高。具体而言,Tregs在化疗组中的比例显著增加,且效应Tregs(Treg-2)的TGFB1表达水平显著高于未化疗组(图1h)。TAMs在化疗组中的比例同样增加,且表现出更高的M2型巨噬细胞特征基因表达水平(图2g)。这些结果表明,化疗可能通过增加Tregs和TAMs的浸润,以及上调这些细胞的TGFB1表达,诱导了免疫抑制微环境的形成,从而抑制了NK细胞的ADCC功能。

图1 化疗处理的CLDN18.2阳性胃癌中调节性T细胞(Tregs)的作用

图2 化疗处理的CLDN18.2阳性胃癌中肿瘤相关巨噬细胞(TAMs)的影响

3. 细胞间相互作用的增强

细胞间相互作用分析进一步揭示了化疗对肿瘤微环境的影响。研究发现,化疗组中NK细胞与效应Tregs之间通过CCL5-CCR5信号通路的相互作用增强,而Tregs与TAMs之间通过TGFB1-TGFBR信号通路的相互作用也更为显著。这些结果表明,化疗可能通过增强这些细胞间的信号通路,进一步加剧了免疫抑制微环境的形成,从而抑制了NK细胞的ADCC功能。

4. 空间分布的改变

研究还发现,化疗组中NK细胞与Tregs和TAMs的空间距离更近,这可能进一步加剧了NK细胞的免疫抑制(图6c-f)。这一发现表明,化疗不仅改变了细胞的基因表达和功能,还影响了细胞的空间分布,使得NK细胞更容易受到Tregs和TAMs的抑制作用。这一结果为理解化疗诱导的免疫抑制机制提供了新的视角。

总结

本文通过单细胞RNA测序和多重免疫荧光技术,深入剖析了新辅助化疗对CLDN18.2阳性胃癌肿瘤微环境的影响。研究发现,化疗不仅增加了NK细胞、Tregs和TAMs的浸润,还通过上调TGFB1表达和增强CCL5-CCR5信号通路,诱导免疫抑制微环境的形成,从而抑制NK细胞的ADCC功能。这些发现揭示了化疗对CLDN18.2靶向治疗疗效的负面影响机制,为未来开发更有效的联合治疗策略提供了新的方向。研究把“化疗—靶点抗体协同失效”这一临床尴尬现象从假设推向机制,为后续联合CCR5或TGF-β阻断剂提供了直接理论依据,也提示精准筛选化疗方案或时序可能成为提升CLDN18.2靶向疗效的突破口。

参考文献

[1]Tsutsumi C , Ohuchida K , Yamada Y ,et al.Claudin18.2-positive gastric cancer-specific changes in neoadjuvant chemotherapy-driven immunosuppressive tumor microenvironment[J].British Journal of Cancer, 2025, 132(9).DOI:10.1038/s41416-025-02981-y.

ldquo;医学论坛网”发布医学领域研究成果和解读,供专业人员科研参考,不作为诊疗标准,使用需根据具体情况评估。

展开
打开“财经头条”阅读更多精彩资讯
APP内打开