肥胖胰腺癌免疫治疗抵抗元凶锁定!靶向CTSA-假尿苷轴使疗效提升80%+,超重患者终迎突破

医学论坛网

5天前

该研究开创性地揭示了肥胖通过VAT-EVs远程操控胰腺癌细胞代谢、重塑免疫微环境的完整分子图谱,其核心贡献在于鉴定了CTSA-假尿苷-肥大细胞轴作为代谢与免疫的“跨界翻译器”。

导语:肥胖胰腺癌患者为何对免疫治疗总是“油盐不进”?这一临床困境长期困扰着肿瘤学界。当免疫检查点抑制剂在多数实体瘤中屡创奇迹时,肥胖相关的胰腺导管腺癌却像一座难以攻克的堡垒,其内在的免疫抵抗机制始终蒙着一层神秘面纱。

肥胖胰腺癌免疫治疗抵抗机制成谜,内脏脂肪外囊泡成为破解困局的关键信使

肥胖与胰腺导管腺癌(PDAC)的不良预后密切相关,但两者之间的分子对话机制始终未能阐明。既往研究虽已注意到脂肪组织作为内分泌器官可释放激素和细胞因子影响远处器官,但内脏脂肪组织(VAT)如何通过系统性调控远程塑造肿瘤微环境,特别是介导免疫检查点阻断(ICB)治疗抵抗,仍是领域内亟待填补的空白。现有证据表明,肥胖可导致PDAC患者生存期显著缩短,且对PD-1/PD-L1抑制剂反应率极低,这种临床现象背后是否存在一个跨器官传导的信使系统,将代谢紊乱信号直接转化为肿瘤免疫逃逸指令,成为制约肥胖相关癌症诊疗突破的核心瓶颈。

细胞外囊泡(EVs)作为细胞间通讯的重要载体,已被证实参与多种代谢性疾病进程。然而,肥胖状态下VAT来源的EVs是否能穿透血行屏障进入胰腺肿瘤组织,其携带的分子货物又如何重编程肿瘤细胞代谢并重塑免疫微环境,这些问题缺乏系统性实验证据。更棘手的是,即使识别出候选信号分子,其从代谢重构到免疫抑制的完整信号转导链条,特别是连接RNA代谢、表观遗传重编程与固有免疫细胞活化的关键节点,仍是认知盲区。

2025年12月,Cell Metabolism在线发表了一篇题为"Extracellular vesicles from obese visceral adipose promote pancreatic cancer development and resistance to immune checkpoint blockade therapy"的里程碑式论文,该研究独辟蹊径地将视角从肿瘤本身转向系统性代谢器官,锁定CTSA-假尿苷-肥大细胞轴作为肥胖与PDAC免疫逃避之间的“翻译器”,不仅填补了机制空白,更提出靶向脂肪-肿瘤对话通路的精准干预策略,为破解肥胖患者ICB治疗抵抗提供了可操作的转化医学路径。

构建多维度验证体系,高脂喂养小鼠模型串联从代谢重编程到免疫功能障碍的完整证据链

本研究是一项整合动物模型、临床队列与多组学技术的转化医学研究,旨在系统解析肥胖VAT-EVs调控PDAC进展与ICB抵抗的分子机制。研究团队首先建立高脂饮食(HFD)诱导的肥胖小鼠模型,通过14周喂养使C57BL/6J小鼠体重、血脂、血糖及炎症因子显著升高,模拟临床肥胖代谢紊乱状态。实验设计上采用来源-载体-效应三位一体的验证框架:从VAT组织移植、EVs体内示踪到细胞功能重编程,层层递进确证因果关系。样本纳入严格遵循平行对照原则,将KPC自发胰腺癌来源的细胞系分别植入正常与肥胖小鼠体内,观察肿瘤生长差异;进而通过脂肪组织移植术,将肥胖小鼠的内脏脂肪替换至正常小鼠体内,排除体重混杂因素,独立评估VAT的远程调控效应。

干预措施设计体现了精妙的模块化思路:一是EVs生物生成抑制剂GW4869梯度给药实验,剂量依赖性验证EVs分泌与肿瘤生长的因果关联;二是AAV介导的脂肪组织特异性CTSA敲低与过表达系统,实现信号分子的时空可控调控;三是联合使用抗c-Kit抗体清除肥大细胞、抗CD8抗体耗竭T细胞、假尿苷合成酶抑制剂NSC107512等多维度干预手段,分别阻断信号轴的不同节点。研究还纳入了临床PDAC患者队列(160例,其中超重/肥胖66例),采集血清与肿瘤组织样本进行生物标志物验证。主要评价指标涵盖肿瘤负荷(生物发光成像)、免疫微环境组成(流式细胞术、单细胞RNA测序)、代谢物水平(质谱分析)及蛋白互作(免疫共沉淀);次要终点包括无进展生存期(PFS)相关性分析、ICB治疗响应评估等。整个设计通过小鼠模型发现机制-人类样本验证相关性-功能干预验证治疗潜力的闭环逻辑,确保结论的稳健性与临床转化价值。

CTSA-假尿苷-肥大细胞轴浮出水面,靶向该代谢-免疫环路何以使肥胖胰腺癌ICB疗效提升数倍

本研究的核心发现揭示了一条跨越器官屏障的代谢-免疫调控轴:肥胖VAT释放的EVs携带高浓度CTSA,被PDAC细胞摄取后溶酶体递送,稳定核糖核酸酶RNASET2,导致游离假尿苷异常累积,最终特异性激活肥大细胞抑制CD8+ T细胞功能,构筑免疫抑制微环境。

关键证据链始于肥胖小鼠模型中观察到的显著肿瘤加速生长现象,KPC细胞异种移植后14天,肥胖组肿瘤生物发光强度较正常组增加近3倍(图1A)。这种促癌效应并非源于肿瘤细胞自身,因为GW4869抑制EVs分泌后,即使在肥胖宿主中肿瘤生长也被显著遏制,且呈剂量依赖性(图1D-E),提示VAT-EVs是肥胖促进肿瘤进展的必要介导者。

注:(A) 肥胖对小鼠KPC同种移植瘤生长的影响,于移植后第14天测定(n=5)。左图显示正常和肥胖小鼠中肿瘤的生物发光强度,右图为定量统计结果;(B) 内脏脂肪组织移植实验示意图;(C) 正常或肥胖内脏脂肪组织对小鼠KPC同种移植瘤生长的影响,于移植后第14天测定(n=5);(D和E) 不同剂量的细胞外囊泡生物合成抑制剂GW4869(每3天给药一次)对肥胖小鼠KPC同种移植瘤生长的影响(n=5);(F) 内脏脂肪组织-细胞外囊泡(VAT-EV)制备及用于荷瘤正常小鼠的治疗方案示意图;(G) 正常或肥胖小鼠的VAT-EV或非VAT-EV培养基对正常小鼠皮下KPC同种移植瘤生长的影响(n=5);(H) 正常或肥胖小鼠的VAT-EV或非VAT-EV培养基对正常小鼠胰腺原位KPC同种移植瘤生长的影响,于移植后第14天测定(n=5)。

图1 肥胖内脏脂肪组织来源的细胞外囊泡促进小鼠胰腺导管腺癌生长

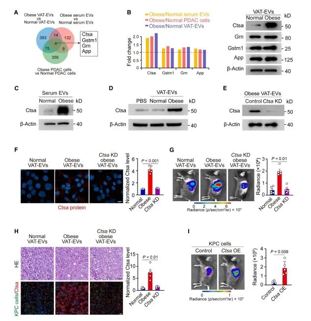
为锁定效应分子,研究团队对VAT-EVs、血清EVs及受体肿瘤细胞进行蛋白质组学整合分析,筛选出4个在肥胖状态下同步上调的蛋白,其中CTSA因其在肥胖VAT-EVs中蛋白水平激增而mRNA无差异,被锁定为关键货物分子。功能验证显示,CTSA敲低的肥胖VAT-EVs完全丧失促癌能力,肿瘤生长回落至正常VAT-EVs水平(图2G);相反,过表达CTSA可直接驱动肿瘤增殖。机制上,CTSA进入PDAC细胞溶酶体后,与RNASET2直接互作并延长其半衰期,这一分子伴侣功能使RNASET2介导的RNA降解效率提升,释放大量游离假尿苷。代谢组学检测证实,肥胖VAT-EVs处理的KPC细胞及其培养上清中假尿苷水平升高最为显著,而RNASET2敲低或假尿苷合成抑制剂NSC107512可完全阻断该效应。

图2 肥胖内脏脂肪组织来源的细胞外囊泡含有促进小鼠KPC同种移植瘤生长的组织蛋白酶A(Ctsa)

假尿苷的免疫调控作用具有细胞特异性。单细胞RNA测序揭示,接受肥胖VAT-EVs的小鼠肿瘤微环境中,肥大细胞比例激增,而CD8+ T细胞和自然杀伤细胞显著减少(图3B)。假尿苷通过肥大细胞特异性表达的核苷转运体SLC29A1进入胞内,引发ROS爆发,导致全局H3K27me3修饰水平下降。这种表观遗传重编程使肥大细胞增殖与免疫抑制相关基因(如Pd-l1、Xbp1、Snap23)启动子区染色质可及性增加93.2%,最终分化为高表达PD-L1的活化表型。功能实验确凿地证明:假尿苷单独处理即可重现肥胖VAT-EVs的促癌效应,该效应可被抗c-Kit抗体清除肥大细胞完全逆转(图3F);而CD8+ T细胞耗竭实验则显示,ASO-Ctsa、NSC107512或抗c-Kit的抑癌效果在T细胞缺失小鼠中完全消失,说明假尿苷激活的肥大细胞必须通过抑制CD8+ T细胞才能发挥促癌作用。

图3 假尿苷激活肥大细胞形成免疫抑制性肿瘤微环境

临床转化价值在PDAC患者队列中得到充分验证。超重/肥胖患者血清CTSA与假尿啶水平显著高于正常体重者,且两者呈正相关;肿瘤组织免疫组化显示CTSA、RNASET2、CD117(肥大细胞标志物)表达升高,而CD8+ T细胞及效应分子GZMB浸润减少。生存分析表明,超重患者无进展生存期(PFS)显著缩短(HR=1.63, 95%CI:1.10-2.44),高CTSA水平与ICB治疗抵抗相关。最具突破性的数据来自治疗干预实验:在肥胖小鼠中,CTAS敲低联合抗PD-1/CTLA-4治疗使肿瘤负荷降低超过80%,生存期延长数倍,远优于单药效果。这一结果直击临床痛点,证明靶向脂肪-肿瘤对话轴可系统性逆转肥胖相关免疫抑制,为提升ICB疗效提供了精准干预靶点。

总结

该研究开创性地揭示了肥胖通过VAT-EVs远程操控胰腺癌细胞代谢、重塑免疫微环境的完整分子图谱,其核心贡献在于鉴定了CTSA-假尿苷-肥大细胞轴作为代谢与免疫的“跨界翻译器”。研究阐明肥胖状态下,脂肪组织分泌的CTSA并非直接作用于肿瘤细胞增殖,而是通过稳定RNASET2引发假尿苷代谢异常,特异性激活肥大细胞的表观遗传重编程,进而抑制CD8+ T细胞毒性的非典型免疫抑制机制。这一发现颠覆了传统认为肥胖仅通过炎症因子间接促癌的认知,确立了系统性代谢器官-肿瘤-免疫三元对话范式。不仅解答了肥胖胰腺癌预后差的百年谜题,更重要的是开辟了代谢靶点+免疫治疗的联合策略新赛道,为占胰腺癌患者近40%的超重/肥胖人群带来了精准治疗希望。

参考文献

Xue C, Zhao S, Zhou Y, et al. Extracellular vesicles from obese visceral adipose promote pancreatic cancer development and resistance to immune checkpoint blockade therapy[J]. Cell Metabolism, 2025, 37(12): 2381-2401. DOI: 10.1016/j.cmet.2025.10.015.

ldquo;医学论坛网”发布医学领域研究成果和解读,供专业人员科研参考,不作为诊疗标准,使用需根据具体情况评估。

该研究开创性地揭示了肥胖通过VAT-EVs远程操控胰腺癌细胞代谢、重塑免疫微环境的完整分子图谱,其核心贡献在于鉴定了CTSA-假尿苷-肥大细胞轴作为代谢与免疫的“跨界翻译器”。

导语:肥胖胰腺癌患者为何对免疫治疗总是“油盐不进”?这一临床困境长期困扰着肿瘤学界。当免疫检查点抑制剂在多数实体瘤中屡创奇迹时,肥胖相关的胰腺导管腺癌却像一座难以攻克的堡垒,其内在的免疫抵抗机制始终蒙着一层神秘面纱。

肥胖胰腺癌免疫治疗抵抗机制成谜,内脏脂肪外囊泡成为破解困局的关键信使

肥胖与胰腺导管腺癌(PDAC)的不良预后密切相关,但两者之间的分子对话机制始终未能阐明。既往研究虽已注意到脂肪组织作为内分泌器官可释放激素和细胞因子影响远处器官,但内脏脂肪组织(VAT)如何通过系统性调控远程塑造肿瘤微环境,特别是介导免疫检查点阻断(ICB)治疗抵抗,仍是领域内亟待填补的空白。现有证据表明,肥胖可导致PDAC患者生存期显著缩短,且对PD-1/PD-L1抑制剂反应率极低,这种临床现象背后是否存在一个跨器官传导的信使系统,将代谢紊乱信号直接转化为肿瘤免疫逃逸指令,成为制约肥胖相关癌症诊疗突破的核心瓶颈。

细胞外囊泡(EVs)作为细胞间通讯的重要载体,已被证实参与多种代谢性疾病进程。然而,肥胖状态下VAT来源的EVs是否能穿透血行屏障进入胰腺肿瘤组织,其携带的分子货物又如何重编程肿瘤细胞代谢并重塑免疫微环境,这些问题缺乏系统性实验证据。更棘手的是,即使识别出候选信号分子,其从代谢重构到免疫抑制的完整信号转导链条,特别是连接RNA代谢、表观遗传重编程与固有免疫细胞活化的关键节点,仍是认知盲区。

2025年12月,Cell Metabolism在线发表了一篇题为"Extracellular vesicles from obese visceral adipose promote pancreatic cancer development and resistance to immune checkpoint blockade therapy"的里程碑式论文,该研究独辟蹊径地将视角从肿瘤本身转向系统性代谢器官,锁定CTSA-假尿苷-肥大细胞轴作为肥胖与PDAC免疫逃避之间的“翻译器”,不仅填补了机制空白,更提出靶向脂肪-肿瘤对话通路的精准干预策略,为破解肥胖患者ICB治疗抵抗提供了可操作的转化医学路径。

构建多维度验证体系,高脂喂养小鼠模型串联从代谢重编程到免疫功能障碍的完整证据链

本研究是一项整合动物模型、临床队列与多组学技术的转化医学研究,旨在系统解析肥胖VAT-EVs调控PDAC进展与ICB抵抗的分子机制。研究团队首先建立高脂饮食(HFD)诱导的肥胖小鼠模型,通过14周喂养使C57BL/6J小鼠体重、血脂、血糖及炎症因子显著升高,模拟临床肥胖代谢紊乱状态。实验设计上采用来源-载体-效应三位一体的验证框架:从VAT组织移植、EVs体内示踪到细胞功能重编程,层层递进确证因果关系。样本纳入严格遵循平行对照原则,将KPC自发胰腺癌来源的细胞系分别植入正常与肥胖小鼠体内,观察肿瘤生长差异;进而通过脂肪组织移植术,将肥胖小鼠的内脏脂肪替换至正常小鼠体内,排除体重混杂因素,独立评估VAT的远程调控效应。

干预措施设计体现了精妙的模块化思路:一是EVs生物生成抑制剂GW4869梯度给药实验,剂量依赖性验证EVs分泌与肿瘤生长的因果关联;二是AAV介导的脂肪组织特异性CTSA敲低与过表达系统,实现信号分子的时空可控调控;三是联合使用抗c-Kit抗体清除肥大细胞、抗CD8抗体耗竭T细胞、假尿苷合成酶抑制剂NSC107512等多维度干预手段,分别阻断信号轴的不同节点。研究还纳入了临床PDAC患者队列(160例,其中超重/肥胖66例),采集血清与肿瘤组织样本进行生物标志物验证。主要评价指标涵盖肿瘤负荷(生物发光成像)、免疫微环境组成(流式细胞术、单细胞RNA测序)、代谢物水平(质谱分析)及蛋白互作(免疫共沉淀);次要终点包括无进展生存期(PFS)相关性分析、ICB治疗响应评估等。整个设计通过小鼠模型发现机制-人类样本验证相关性-功能干预验证治疗潜力的闭环逻辑,确保结论的稳健性与临床转化价值。

CTSA-假尿苷-肥大细胞轴浮出水面,靶向该代谢-免疫环路何以使肥胖胰腺癌ICB疗效提升数倍

本研究的核心发现揭示了一条跨越器官屏障的代谢-免疫调控轴:肥胖VAT释放的EVs携带高浓度CTSA,被PDAC细胞摄取后溶酶体递送,稳定核糖核酸酶RNASET2,导致游离假尿苷异常累积,最终特异性激活肥大细胞抑制CD8+ T细胞功能,构筑免疫抑制微环境。

关键证据链始于肥胖小鼠模型中观察到的显著肿瘤加速生长现象,KPC细胞异种移植后14天,肥胖组肿瘤生物发光强度较正常组增加近3倍(图1A)。这种促癌效应并非源于肿瘤细胞自身,因为GW4869抑制EVs分泌后,即使在肥胖宿主中肿瘤生长也被显著遏制,且呈剂量依赖性(图1D-E),提示VAT-EVs是肥胖促进肿瘤进展的必要介导者。

注:(A) 肥胖对小鼠KPC同种移植瘤生长的影响,于移植后第14天测定(n=5)。左图显示正常和肥胖小鼠中肿瘤的生物发光强度,右图为定量统计结果;(B) 内脏脂肪组织移植实验示意图;(C) 正常或肥胖内脏脂肪组织对小鼠KPC同种移植瘤生长的影响,于移植后第14天测定(n=5);(D和E) 不同剂量的细胞外囊泡生物合成抑制剂GW4869(每3天给药一次)对肥胖小鼠KPC同种移植瘤生长的影响(n=5);(F) 内脏脂肪组织-细胞外囊泡(VAT-EV)制备及用于荷瘤正常小鼠的治疗方案示意图;(G) 正常或肥胖小鼠的VAT-EV或非VAT-EV培养基对正常小鼠皮下KPC同种移植瘤生长的影响(n=5);(H) 正常或肥胖小鼠的VAT-EV或非VAT-EV培养基对正常小鼠胰腺原位KPC同种移植瘤生长的影响,于移植后第14天测定(n=5)。

图1 肥胖内脏脂肪组织来源的细胞外囊泡促进小鼠胰腺导管腺癌生长

为锁定效应分子,研究团队对VAT-EVs、血清EVs及受体肿瘤细胞进行蛋白质组学整合分析,筛选出4个在肥胖状态下同步上调的蛋白,其中CTSA因其在肥胖VAT-EVs中蛋白水平激增而mRNA无差异,被锁定为关键货物分子。功能验证显示,CTSA敲低的肥胖VAT-EVs完全丧失促癌能力,肿瘤生长回落至正常VAT-EVs水平(图2G);相反,过表达CTSA可直接驱动肿瘤增殖。机制上,CTSA进入PDAC细胞溶酶体后,与RNASET2直接互作并延长其半衰期,这一分子伴侣功能使RNASET2介导的RNA降解效率提升,释放大量游离假尿苷。代谢组学检测证实,肥胖VAT-EVs处理的KPC细胞及其培养上清中假尿苷水平升高最为显著,而RNASET2敲低或假尿苷合成抑制剂NSC107512可完全阻断该效应。

图2 肥胖内脏脂肪组织来源的细胞外囊泡含有促进小鼠KPC同种移植瘤生长的组织蛋白酶A(Ctsa)

假尿苷的免疫调控作用具有细胞特异性。单细胞RNA测序揭示,接受肥胖VAT-EVs的小鼠肿瘤微环境中,肥大细胞比例激增,而CD8+ T细胞和自然杀伤细胞显著减少(图3B)。假尿苷通过肥大细胞特异性表达的核苷转运体SLC29A1进入胞内,引发ROS爆发,导致全局H3K27me3修饰水平下降。这种表观遗传重编程使肥大细胞增殖与免疫抑制相关基因(如Pd-l1、Xbp1、Snap23)启动子区染色质可及性增加93.2%,最终分化为高表达PD-L1的活化表型。功能实验确凿地证明:假尿苷单独处理即可重现肥胖VAT-EVs的促癌效应,该效应可被抗c-Kit抗体清除肥大细胞完全逆转(图3F);而CD8+ T细胞耗竭实验则显示,ASO-Ctsa、NSC107512或抗c-Kit的抑癌效果在T细胞缺失小鼠中完全消失,说明假尿苷激活的肥大细胞必须通过抑制CD8+ T细胞才能发挥促癌作用。

图3 假尿苷激活肥大细胞形成免疫抑制性肿瘤微环境

临床转化价值在PDAC患者队列中得到充分验证。超重/肥胖患者血清CTSA与假尿啶水平显著高于正常体重者,且两者呈正相关;肿瘤组织免疫组化显示CTSA、RNASET2、CD117(肥大细胞标志物)表达升高,而CD8+ T细胞及效应分子GZMB浸润减少。生存分析表明,超重患者无进展生存期(PFS)显著缩短(HR=1.63, 95%CI:1.10-2.44),高CTSA水平与ICB治疗抵抗相关。最具突破性的数据来自治疗干预实验:在肥胖小鼠中,CTAS敲低联合抗PD-1/CTLA-4治疗使肿瘤负荷降低超过80%,生存期延长数倍,远优于单药效果。这一结果直击临床痛点,证明靶向脂肪-肿瘤对话轴可系统性逆转肥胖相关免疫抑制,为提升ICB疗效提供了精准干预靶点。

总结

该研究开创性地揭示了肥胖通过VAT-EVs远程操控胰腺癌细胞代谢、重塑免疫微环境的完整分子图谱,其核心贡献在于鉴定了CTSA-假尿苷-肥大细胞轴作为代谢与免疫的“跨界翻译器”。研究阐明肥胖状态下,脂肪组织分泌的CTSA并非直接作用于肿瘤细胞增殖,而是通过稳定RNASET2引发假尿苷代谢异常,特异性激活肥大细胞的表观遗传重编程,进而抑制CD8+ T细胞毒性的非典型免疫抑制机制。这一发现颠覆了传统认为肥胖仅通过炎症因子间接促癌的认知,确立了系统性代谢器官-肿瘤-免疫三元对话范式。不仅解答了肥胖胰腺癌预后差的百年谜题,更重要的是开辟了代谢靶点+免疫治疗的联合策略新赛道,为占胰腺癌患者近40%的超重/肥胖人群带来了精准治疗希望。

参考文献

Xue C, Zhao S, Zhou Y, et al. Extracellular vesicles from obese visceral adipose promote pancreatic cancer development and resistance to immune checkpoint blockade therapy[J]. Cell Metabolism, 2025, 37(12): 2381-2401. DOI: 10.1016/j.cmet.2025.10.015.

ldquo;医学论坛网”发布医学领域研究成果和解读,供专业人员科研参考,不作为诊疗标准,使用需根据具体情况评估。

展开
打开“财经头条”阅读更多精彩资讯
APP内打开